Person holding two Invisaligns

Invisalign Cost

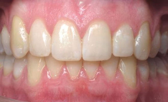
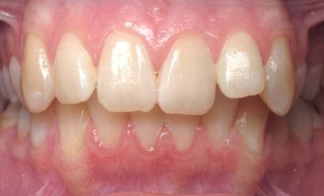
Do you want a straighter, more symmetrical smile but are curious about how much it may run you? Pioneer Hills Dental in Aurora, CO, is here to help by breaking down what factors into the cost of Invisalign . Learn how Dr. Terrance Wolbaum can help you achieve an improved smile at a price that works with your budget.

Is Invisalign Worth the Cost? Yes — and Here’s Why

Custom Trays

During your initial orthodontic consultation at our dental office in Aurora, CO , we'll scan your teeth to create a personalized Invisalign treatment plan. Then, your clear aligners are custom-created to gently guide your teeth into alignment over several months.

Individualized Care

When you opt for Invisalign through our practice, you aren’t just getting sets of aligners and heading out the door; you're establishing a relationship with Dr. Wolbaum to ensure your teeth straighten as intended and you’re happy with the results.

Low Profile Treatment

Unlike traditional braces, most others won’t even be able to tell you’re wearing Invisalign. From picture day and presentations to social gatherings at large, this “invisible” orthodontic system lets you smile with confidence in your day-to-day life.

Financing Options Make Invisalign More Accessible

While some dental insurance plans cover a portion of Invisalign costs, others will have you pay for the entire treatment out-of-pocket. Our team is happy to work with you to determine any benefits available to help cover the cost of orthodontic treatment.

If your dental insurance plan doesn’t cover the cost of Invisalign or you are uninsured, you should know that we accept financing through CareCredit®. This third-party lender lets you break up payments into manageable monthly installments with little to no interest. For additional information about payment plans, get in touch with us today .

What Patients Have to Say About Our Practice in Aurora, CO

1

Daylene Medina

Aurora, CO

2023

Google logo

Been coming here since I moved to Aurora. Dr. Wolbaum and his staff are all awesome.

View on Google
1

Richard Carino

Aurora, CO

2023

Google logo

Dr. Terrance is very personable, kind and generous. He’s very informative and takes his time and I don’t feel rushed. I highly recommend Pioneer Hills Dental!

View on Google

Pioneer Hills Dental

Pioneer Hills Dental is a comprehensive practice where patients of all ages can receive advanced dentistry in a state-of-the-art setting. Our dentist, Dr. Terrance Wolbaum , is an active member of many prestigious dental organizations, including:

  • American Dental Association
  • Colorado Dental Association
  • International Congress of Oral Implantologists
  • Metropolitan Denver Dental Society
  • New Dentist Committee
  • Misch Fellowship
  • Dawson Academy

To make dentistry more affordable for families, Dr. Wolbaum proudly accepts most dental insurance plans and financing through CareCredit® . To book your appointment, request a consultation online or call our practice at (303) 766-8811 .

Contact Us Today

Rate, Review & Explore